你知道吗?最近在互联网上有个名字可是火得一塌糊涂,那就是陈兴杰!这位大佬究竟有何魅力,能让无数网友为之疯狂呢?今天,就让我带你从...
你有没有发现,最近你的朋友圈是不是也被一种叫做“777在线视频”的东西刷屏了?没错,就是那个让你一刷就停不下来的神奇平台!今天,...
亲爱的读者们,你是否曾在某个悠闲的午后,被那些五彩斑斓的积木所吸引?没错,我说的就是乐高!而今天,我要带你走进一个充满创意和乐趣...
亲爱的读者们,你是否曾在某个闲暇的午后,想要找一部国产精品免费视频来放松一下心情?那就跟着我一起探索这个充满惊喜的世界吧!一、国...
亲爱的读者们,你是否曾在课间休息时,对着那套眼保健操发呆,心想:“这动作,这节奏,怎么就那么枯燥无味呢?”别急,今天我要给你带来...
你有没有发现,最近网上那些乱搞视频真是让人瞠目结舌啊!这可不是什么新鲜事,但每次看到这些视频,心里总是五味杂陈。今天,咱们就来聊...
你知道吗?最近在网络上掀起了一股“杀牛视频”的热潮。这可不是普通的视频,而是那些让人看了既心惊胆战又忍不住想一探究竟的杀牛过程。...
你知道吗?最近网上有个视频,简直笑得我肚子都疼了!是不是好奇是啥内容?那就跟着我一起,来探索这个爆笑视频背后的故事吧!一、视频内...
端午节又到了!这个充满传统文化气息的节日,总是让人心生欢喜。这不,最近我在网上闲逛,无意间发现了一大堆关于端午节的视频素材,简直...
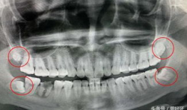
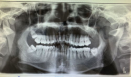
你知道吗?拔智齿这个话题,最近在网络上可是火得一塌糊涂呢!很多人都在好奇,拔智齿到底是个啥样的过程,是不是像传说中的那么恐怖?今...